 
							Eine Revisionsoperation kommt in Frage, wenn eine Endoprothese an Knie, Hüfte oder Schulter nicht ausreichend gut funktioniert, nicht stabil genug ist oder sich aus dem Knochen gelockert hat.
Betroffene Patienten beschäftigen vor allem Fragen wie „ist bei mir eine Revision notwendig?“, „wie verläuft eine Wechseloperation?“, „gibt es spezielle Risiken?“, „wie lange hält eine Revisionsendoprothese?“.
Die Antworten dieser und noch weiterer Fragen liefert Ihnen Priv.-Doz. Dr. Christian Suren als erfahrener Operateur mit langjähriger Expertise auf dem Gebiet sowohl der Primär- als auch der Revisionsendoprothetik.
Den ganzen Text lesen Sie hier:


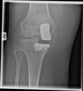
(Bild links: Röntgenbild eines Teilgelenkersatzes mit zu großer Prothesenkomponente. Dadurch resultierte ein X-Bein mit Überlastung des erhaltenen Gelenks und ein Instabilitätsgefühl beim Gehen.)
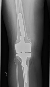
(Bild rechts: Austausch durch eine stabilisierte Revisionsendoprothese. Die Beinachse ist nun gerade, das Kniegelenk auch bei Belastung stabil.)


