 
							Die Entscheidung zur Implantation eines künstlichen Gelenks ist für Patienten mit vielen Fragen verbunden: Wie lange ist die Nachbehandlung; welche Prothesentypen gibt es; wann ist der richtige Zeitpunkt; welche Risiken gibt es?
All diesen Fragen stellt sich Dr. Christoph Rummel in einem Interview. Auf Grund der zahlreichen Prothesenoperationen pro Jahr und seiner damit verbundenen großen Erfahrung, hilft der ausgewiesene Spezialist für Endoprothetik den Patienten bei der Beantwortung ihrer Fragen und unterstützt sie dabei, die richtigen Entscheidungen zu treffen.
ZFOS – DIE Spezialisten in der Orthopädie!
Das ganze Interview lesen Sie hier
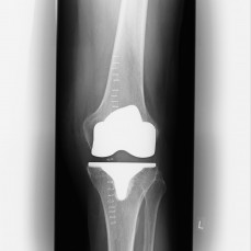
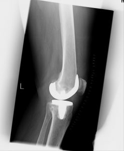
(Bilder unten: Totalendoprothese Kniegelenk)




