 
							Bei erfahrenen und anerkannten Orthopäden gehört es zur Tagesordnung, dass immer wieder Anfragen verschiedenster Medien kommen.
So bat kürzlich die „Bunte“ für ihre Ausgabe 16/2021 für die Rubrik „Gesundheit“ die Schulterspezialisten Dr. Georg Öttl und Dr. Christoph Rummel um Stellungnahmen zum Thema Schulterverletzungen.
So erläutert Dr. Öttl „Schlägt die konservative Behandlung bei der Kalkschulter nicht an, besteht die Möglichkeit, das Kalkdepot über einen kleinen Schnitt im Sehnenverlauf abzusaugen.“ Beim Impingement mit noch weitgehend intakter Sehne empfiehlt Dr. Öttl "Bei anhaltenden Schmerzen über drei bis sechs Monate kann operativ per Knochenabtragung unterm Schulterdach Raum für die Sehnen geschaffen werden, so dass eine weitere Reibung verhindert wird." Beim Abriss der Rotatorenmanschette rät Dr. Öttl: "Sind die Beschwerden anhaltend groß, kann man insbesondere bei Patienten mit hohem funktionellen Anspruch oder körperlich belastenden Berufen die gerissene Sehne wieder zusammen- oder am Knochen vernähen.
Dr. Rummel als ausgewiesener Fachmann für den Bereich der Endoprothetik erklärt „Eine fortgeschrittene Schulterarthrose, irreparable Sehnendefekte, schweres Rheuma oder ein Absterben des Oberarmkopfes können das Gelenk aber so stark schädigen, dass kein Weg an einer Prothese vorbeiführt.“ Erfreuliche Nachrichten bzgl. der Haltbarkeit hat Dr. Rummel für diese Patienten: "Nach zehn Jahren sind noch über 95% fest implantiert."
ZFOS – immer gefragt!
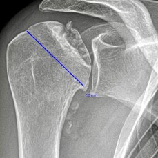
(Bild oben: Durchblutungsstörung Oberarmkopf (Humeruskopfnekrose))
(Bild unten: Kurzschaftprothese Schulter (Typ Eclipse, Fa. Arthrex))



