Priv.-Doz. Dr. Christian Suren Referent beim Masterkurs der Deutschen Gesellschaft für Endoprothetik

Unsere Experten engagieren sich auch weiterhin in der Fortbildung. Endoprothetik-Spezialist PD Dr. Christian Suren hat beim Masterkurs für Hüft-Revisionsendoprothetik am Klinikum rechts der Isar in München gesprochen. Der Kurs wird von der Deutschen Gesellschaft für Endoprothetik (AE) organisiert und richtet sich an erfahrene Operateure aus ganz Deutschland, die ihre Kenntnisse weiter vertiefen wollen. Als anerkannter […]
Lob tut gut!

Welcher Mensch freut sich nicht über ein ehrlich gemeintes Lob? So geht es auch den Ärzten im ZFOS. Ein Patient, der vom Fußspezialisten Dr. Bernd Mayer operiert wurde, ließ diesem seine Dankbarkeit in schriftlicher Form zukommen. „Nach einem Vorgespräch im ZFOS mit Herrn Dr. Mayer entschied ich mich zu einer Sprunggelenk-OP in der Wolfartklinik in […]
Deutsches Davis Cup Team überrascht in China

Die Gruppenphase der Davis Cup Finals wurde von der International Tennis Federation ITF zur Verblüffung der beteiligten Teams aus Deutschland, Chile, Slowakei und USA nach Zuhai in China verlegt. Eine mühsame Reise – für das deutsche Davis Cup Team und dem mitgereisten Teamarzt Dr. Tim Kinateder. Empfangen wurde die deutsche Mannschaft in den ersten Tagen […]
Moderner Gelenkersatz bei Arthrose: Hüft-, Knie- und Schultergelenk

Informationsveranstaltung Für Interessierte, Betroffene und Angehörige Mittwoch, 25.09.2024, 19.00 – 20.00 Uhr Wolfartklinik, Waldstraße 7, München-Gräfelfing Referenten: Dr. med. Christoph Rummel und Dr. med. Julian Seeliger / ZFOS Orthopädie und Sportmedizin, Wolfartklinik Schmerzen, Bewegungseinschränkung und Abnahme der Mobilität – mit diesen Symptomen müssen sich immer mehr Menschen auseinandersetzen, denn die Arthrose in den großen Gelenken […]
Knorpelschaden am Knie: Wann macht eine OP Sinn?

Knorpelschäden im Knie können durch degenerative Vorgänge oder aber auch durch Verletzungsmechanismen entstehen. Beides führt zu Schmerzen und Schwellungen bei Belastungen. Die Behandlung von Knorpelschäden stellt eine große medizinische Herausforderung dar und sollte deshalb nur von ausgewiesenen Spezialisten durchgeführt werden. Die beiden Knie-Spezialisten Dr. Tim Kinateder und Dr. Christian Wimmer analysieren in Ihrem Beitrag, unter […]
Dr. Rummel/Dr. Suren – Top Experten für Hüftendoprothetik favorisieren minimalinvasiven Zugang (MIS-Zugang – Modifizierter AMIS)

Künstliche Gelenke sind aus der modernen Medizin nicht mehr wegzudenken. Sie ermöglichen schmerzfreie Mobilität und steigern damit die Lebensqualität erheblich. Neben dem technischen Fortschritt sowie den besseren Materialien spielt aber auch die Operationsmethode eine große Rolle. So bevorzugen die Endoprothetik-Spezialisten PD Dr. Christian Suren und Dr. Christoph Rummel bei den Hüftprothesen den minimalinvasiven Zugang. Eine […]
BMW International Open Golf mit ZFOS – Bernhard Langer tritt ab!

Wer kennt ihn nicht, Bernhard Langer, eine Ikone des Golfsports. Der erfolgreichste deutsche Golfer aller Zeiten. Ja vielleicht sogar der Wegbereiter des Golfs in Deutschland. Auch mit 66 Jahren ist er einer der Besten seiner Zunft, hält den Rekord im Senioren-Bereich auf der PGA-Tour. Für seinen Abschied auf der European Tour wählte er sein Lieblingsturnier, […]
„Neue“ Hüfte, Knie und Schulter: Was Betroffene über Kunstgelenke wissen sollten

Informationsveranstaltung Für Interessierte, Betroffene und Angehörige Mittwoch, 24.07.2024, 19.00 – 20.00 Uhr Wolfartklinik, Waldstraße 7, München-Gräfelfing Referent: PD Dr. med. Christian Suren / ZFOS Orthopädie und Sportmedizin, Wolfartklinik Wenn die Arthrose in den großen Gelenken Hüfte, Knie und Schulter zunehmend die Lebensqualität einschränkt und sämtliche konservativen Therapien erfolglos blieben, bietet die Medizin die Möglichkeit des […]
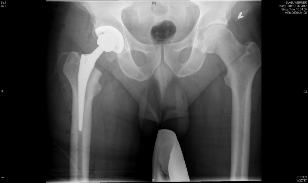
Wechsel-Endoprothetik – warum ein Austausch eines künstlichen Gelenks?

Eine Revisionsoperation kommt in Frage, wenn eine Endoprothese an Knie, Hüfte oder Schulter nicht ausreichend gut funktioniert, nicht stabil genug ist oder sich aus dem Knochen gelockert hat. Betroffene Patienten beschäftigen vor allem Fragen wie „ist bei mir eine Revision notwendig?“, „wie verläuft eine Wechseloperation?“, „gibt es spezielle Risiken?“, „wie lange hält eine Revisionsendoprothese?“. Die […]
Neuer ZFOS-Standard in der Nachbehandlung

Lisa Huppertz (Physiotherapeutin und Sportwissenschaftlerin B.Sc.) und Florian Lipold (Physiotherapeut und Dipl. Sportwissenschaftler univ., Leiter ZFOS – Physio, Training & Testing) präsentieren den neuen ZFOS-Standard in der postoperativen Nachbehandlung. Anhand der aktuellen Literatur und in interdisziplinärer Zusammenarbeit mit den Ärzten des ZFOS erstellte Lisa Huppertz eine neue standardisierte Leitlinie, die die Nachbehandlung der Patienten im […]