Für jeden leidenschaftlichen Tennis-Spieler eine nicht nur körperlich schmerzhafte Situation: Die Schmerzen in Knie- und Hüftgelenken sind so stark, dass der Sport auf dem roten Sand nicht mehr ausgeübt werden kann!
Doch Dank modernster Operationstechniken gibt es Hoffnung, den Tennisschläger nicht endgültig an den Nagel hängen zu müssen: die endoprothetische Versorgung.
Wie ist der Ablauf bei der Implantation eines künstlichen Knie- oder Hüftgelenks? Ab wann kann wieder mit dem Tennissport begonnen werden? Was muss beim Aufbautraining beachtet werden?
Dr. Christoph Rummel als ausgewiesener Spezialist für die Endoprothetik erläutert ausführlich, was in solch einem Fall beachtet werden muss.
ZFOS – innovative Medizin im Sport!
Den ganzen Beitrag lesen Sie hier

(Beitragsbild: T. Kaiser – unsplash.com)
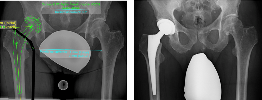
(Bilder oben: Digitale Prothesenplanung einer Hüft-TEP rechts – vor OP und postoperative Kontrolle)