Der aktiven Tennisspielerin war seit vielen Monaten die zunehmende Schwellung auf der Innenseite des Kniegelenks aufgefallen. Anhaltende Knieschmerzen bei Belastung führten sie schließlich ins ZFOS zur weiteren Abklärung bei Dr. Christoph Rummel.
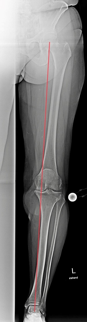
Die Blickdiagnose bestätigte sich durch die Röntgen- und MRT-Aufnahmen: eine ausgeprägte Arthrose des Kniegelenks mit Schwerpunkt der Knorpelschädigung auf der Innenseite. Folgen der fortgeschrittenen Gelenkschädigung waren die zunehmende O-Bein-Fehlstellung und die Ausbildung eines sehr großen Ganglions (mit Gelenkflüssigkeit gefüllte Raumforderung).
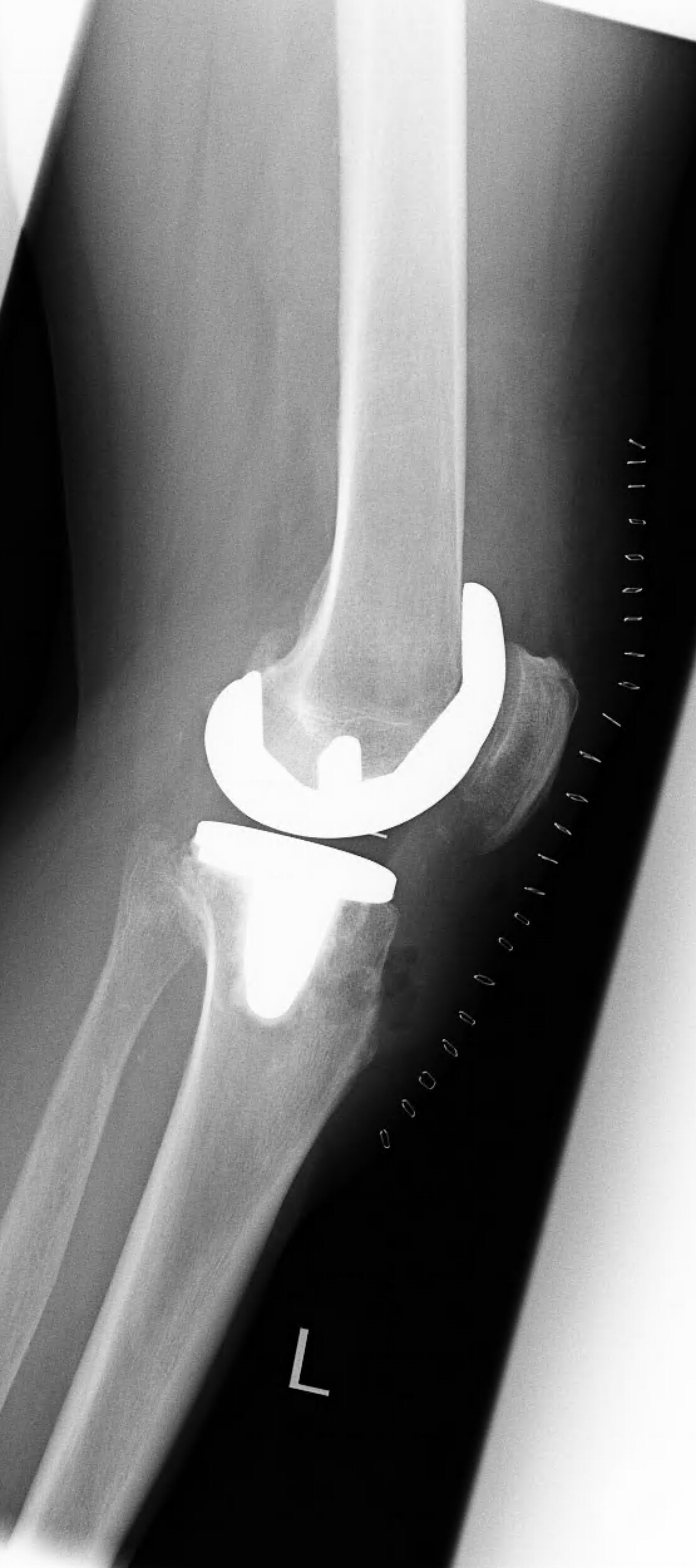
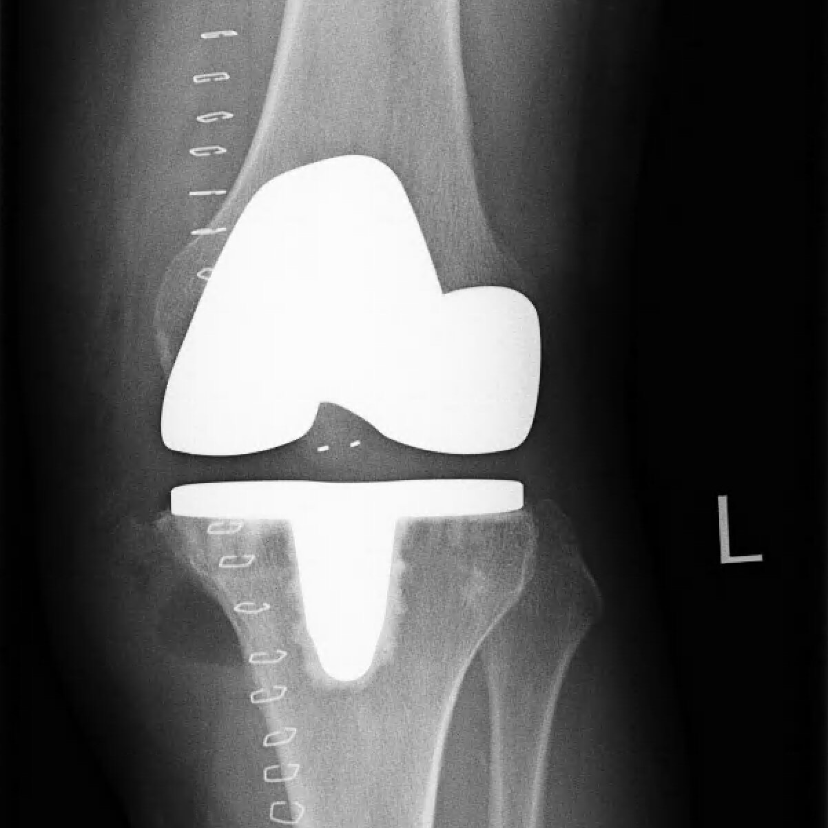
Nachdem die nicht operativen Therapiemaßnahmen (Krankengymnastik, korrigierende Einlagen, Spritzentherapie) ausgeschöpft waren und die Lebensqualität anhaltend beeinträchtigt war, wurde die Patientin über die Option eines künstlichen Kniegelenks (KnieTotalEndoProthese = KTEP) informiert. Mithilfe eines Oberflächenersatzes (Typ „Doppelschlitten“) konnte die abgenutzte Knorpeloberfläche überkront und gleichzeitig die korrekte Beinachse wiederhergestellt werden. Das Ganglion wurde über den gleichen OP-Zugang erfolgreich entfernt.
Nach erfolgter Rehabilitation (1 Woche Klinikaufenthalt, 3 Wochen Reha-Klinik und 8 Wochen ambulanter Physiotherapie) hat die Patientin in der Zwischenzeit Dank des künstlichen Kniegelenks ihr gewohntes Aktivitätsniveau im Alltag erreicht und freut sich, schon bald wieder auf dem Tennisplatz stehen zu können.
ZFOS – defektorientierter Gelenkersatz nach Maß!



